手術症例詳細および癌切除後成績詳細 消化器外科│患者様へ│東京女子. 診療の特徴. 日本では大学病院や癌センターなどの癌の手術治療を行っている大きな施設では、次々に新しい患者さんの.
リンパ腫 副腎
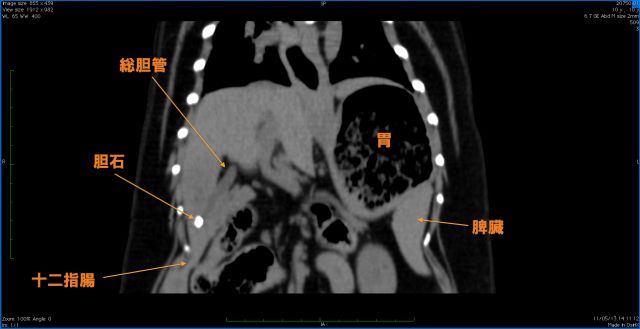
神戸大学医学部附属病院 肝胆膵外科|胆道癌・胆石症. 神戸大学医学部附属病院肝胆膵外科のページです。胆道癌とその治療法について掲載しています。.
Chclinic.Toyspa. 到診所來治療癌症腫瘤的病人可分幾種 01.怕西醫手術、化療、放療的副作用,希望僅用中醫藥治療癌症腫瘤. 神戸大学医学部附属病院 肝胆膵外科|胆道癌・胆石症. 神戸大学医学部附属病院肝胆膵外科のページです。胆道癌とその治療法について掲載しています。. 十二指腸がんの症状【十二指腸がんの警告】. 十二指腸がんの症状を徹底的に解説。十二指腸がんの症状を知りたい方は必見です。. 胰臟頭癌要切十二指腸 這手術讓她「免留30公分疤」. 89歲的呂陳老太太,因黃疸就醫後發現罹患胰臟頭癌,原本需動大手術,切除十二指腸治療,但考量病患年紀大,孝順的兒子. 蓄膿症(副鼻腔炎) 健康e聊網. 副鼻腔有四個,分別是上顎竇、篩骨竇、額竇、蝶竇(蝶竇從臉部前方看不見)。 副鼻腔罹患炎症時,粘膜會變厚,而造成聚. 胆道がん(胆管がん、胆嚢がん、十二指腸乳頭部がん). ※胆道癌診療ガイドライン:日本肝胆膵外科学会、日本がん治療学会 胆道癌診療ガイドライン作成出版委員会/編より抜粋. 十二指腸潰瘍と癌(ガン)腫瘍 喉痛. 十二指腸潰瘍と癌(ガン)腫瘍 十二指腸の症状 と病気. 十二指腸潰瘍が癌(ガン)腫瘍に変異したり移行する可能性とは. 十二指腸癌の手術後の食事内容!気をつけたい食べ物. 十二指腸癌は、多くの場合、初期症状を自覚するのが難しいとされています。腹痛、吐き気、嘔吐、下痢などの症状が.
老翁罹患罕見十二指腸癌 醫師不放棄治療回復健康 翁 , 十二指腸癌 , 手術. 高齡罹癌患者只能等待死亡?其實只要不放棄希望,仍然有回復正常生活的可能!一名85歲的阿公,原本就患有中風和高血壓. 胰臟癌手術 嘉義長庚一般外科 cgmh.Tw. 胰十二指腸切除術(Pancreaticoduodenectomy, whipple operation 胰臟癌手術屬於重大且複雜的開刀,手術過程一般需費時4~7. 十二指腸がんの症状【十二指腸がんの警告】. 十二指腸がんの症状を徹底的に解説。十二指腸がんの症状を知りたい方は必見です。. 什麼是膽道癌(膽管癌)? 癌症關懷諮詢網. 作者:肝臟中心 楊賢馨教授、一般外科 戴鋒泉主任 Cgh.Tw/tw/most cancers/intropage08 膽道癌亦稱為膽管癌(bile duct carcinoma),是. Chclinic.Toyspa. 到診所來治療癌症腫瘤的病人可分幾種 01.怕西醫手術、化療、放療的副作用,希望僅用中醫藥治療癌症腫瘤. 胰臟癌症狀飲食及末期存活率 allergen.Tw. 胰臟癌是現有人類罹患的惡性腫瘤當中,最嚴重、最具侵襲性且預後不佳的一種。直至末期才有較顯著的臨床症狀及此種. 什麼是十二指腸癌 yahoo奇摩知識+. · 十二指腸壺腹癌經手術切除後的五年存活率從22%到55%都有人報導 ( 3 )。不過根治性手術仍然有11%的死亡率和高達forty three% 的. 胰臟癌簡介 website.Tpech.Gov.Tw. 胰臟癌簡介 胰臟是一柔軟長形的腺體,它位於後腹膜腔,長約 15 至 20 公分,寬約 2.Five 公分,重量約 75~a hundred 公克。.
乳癌 悪性リンパ腫
十二指腸がんの手術方法【十二指腸がんの警告】. 十二指腸がんの手術方法を徹底的に解説。十二指腸がんの手術 男女共通の癌. 認識消化道出血 消化道 , 食道 , 潰瘍 , 痔瘡 , 血管攝影 , 大腸鏡 ,. 消化道出血是一種很常見的疾病,臨床上因處理方式的不同,所以粗略的以十二指腸韌帶 (Treitz ligament )做為分界,此韌帶以上. 認識胰臟癌 teach.Med.Ncku.Edu.Tw. 一. 前言. 胰臟癌是現有人類罹患的惡性腫瘤當中,最嚴重、最具侵襲性且預後不佳的一種。直至末期才有較顯著的臨床症狀及. 蓄膿症(副鼻腔炎) 健康e聊網. 副鼻腔有四個,分別是上顎竇、篩骨竇、額竇、蝶竇(蝶竇從臉部前方看不見)。 副鼻腔罹患炎症時,粘膜會變厚,而造成聚. [心得] 十二指腸癌(壺腹癌)與惠普式手術 看板 anticancer. 前文敘及家母十二指腸癌的發現及治療方式,目前已經出院休養了, 在此分享治療期間有關十二指腸癌與惠普式手術的經歷. 胰臟癌簡介 internet site.Tpech.Gov.Tw. 胰臟癌簡介 胰臟是一柔軟長形的腺體,它位於後腹膜腔,長約 15 至 20 公分,寬約 2.5 公分,重量約 75~one hundred 公克。. 膽管癌_英文_拼音_膽管癌的病因、臨床表現、病理、診斷、治療_醫學百. 10.6 膽道手術史. 膽管癌可發生在手術多年之后,可發生在不含結石的膽管,主要是慢性膽道感染導致上皮間變,常是在膽道內.
達文西機器手臂微創手術 奇美醫療財團法人奇美醫院. 達文西介紹 醫療與人工智慧的結晶-達文西手術系統 (此項手術為自費項目) 自十八世紀以來,外科手術挽救了無數的生命. 神戸大学医学部附属病院 肝胆膵外科|胆道癌・胆石症. 神戸大学医学部附属病院肝胆膵外科のページです。胆道癌とその治療法について掲載しています。. 十二指腸癌の原因と治療法 junishityou. 関連ページ 十二指腸癌の症状は、腹痛と痛みと吐血などがあり治療は手術です 十二指腸癌のステージ毎の症状や特徴. 十二指腸潰瘍と癌(ガン)腫瘍 喉痛. 十二指腸潰瘍と癌(ガン)腫瘍 十二指腸の症状 と病気. 十二指腸潰瘍が癌(ガン)腫瘍に変異したり移行する可能性とは. 大腸癌 a+醫學百科. 此頁由A+醫學百科用戶行医於2014年7月22日 (星期二) 1830的最後更改。 在李文丰和a+醫學百科用戶医者的工作基礎上。. 胰腺癌 a+醫學百科 cht.Ahospital. 胰腺癌(cancer of pancreas,pancreatic cancer)是消化道常見的惡性腫瘤之一,多發生於胰頭部,稱為胰頭癌,也有發生在胰體的癌. 膽道癌簡介 website.Tpech.Gov.Tw. 治療 手術切除是唯一有效治療方法。如果伴隨有肝內結石,當然必須另加總膽管切開及引流。若病人有併發黃疸或膽道感染. 壺腹癌ampulla of vater cancer化學治療的選擇 胃腸道癌症 陳駿逸 醫師 話聊俱樂部. 【文 中西整合癌症治療 腫瘤 / 安寧療護西醫專科醫師 癌症中醫師 陳駿逸】 前成功大學校長吳京今 (14) 天中午左右因壺腹癌.









